Dental Veneers in Dubai UAE - Queens Medical Center
Natural Looking Porcelain Veneers
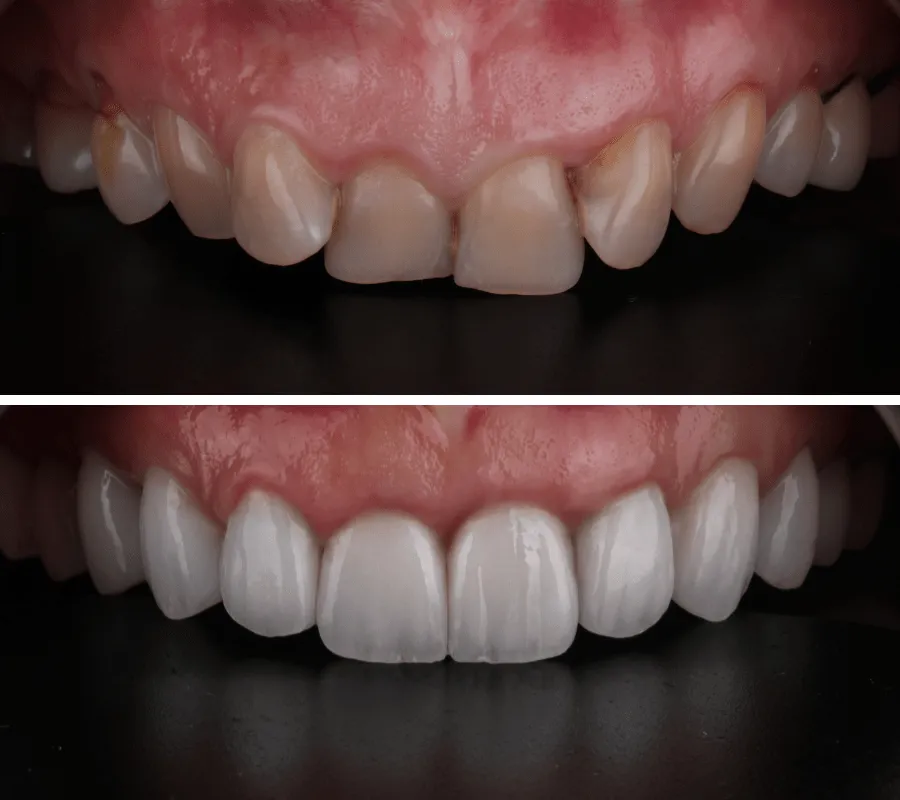
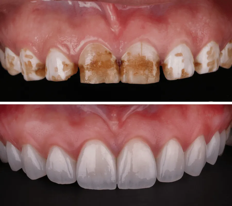
Achieve That Smashing Smile With Veneers In Dubai
Veneers are far more popular than you would think. This lovely technique is the key to multiple celebrities’ flawless smiles. Veneers generate perfectly shaped teeth, giving you a stunning smile you’ve always desired. Our cosmetic dentists are highly competent at producing confident smiles and are eager to assist you in achieving the smile you deserve.
Veneers are custom-made to suit your specific requirements. Your dentist will need an impression or mould of your teeth, which they will use to create the veneers. These pieces are then fitted onto your natural tooth structure, thereby creating a flawless smile.
Benefits Of Veneers
As such, veneers can be used to improve the appearance of your smile as well as to conceal:
- Teeth that have been broken or chipped
- Teeth discoloration
- Teeth gaps
- Teeth that are smaller than the average
- Crooked teeth
What Are Veneers?
Veneers are thin layers of porcelain or composite resin bonded to the front surfaces of your teeth to improve their look. They are a protective covering placed over teeth to conceal and correct aesthetic problems such as chipped, discoloured, or misaligned teeth. Our dentist will design a personalized treatment plan for you, ensuring that you have each tooth’s ideal form and contour. Veneers are classified into two types: composite veneers and porcelain veneers.
What Are Veneers?
How Do Veneers Work?
Your dentist will take a mould of your mouth to create veneers that fit perfectly to your smile. During this appointment, your dentist will prepare the teeth and evaluate the fit, shape and colouration of the veneers to make sure they’re perfect for you. Your veneers will then be fitted, ensuring they feel right in your mouth. Then you’ll be free to walk out with your new confident smile! Once finished, you’ll be bought in to have them placed.
Are Veneers Right For Me?
Dental veneers are an excellent solution if you’re looking to achieve a consistent, beautiful smile by covering up discoloration, gaps, or chips. They can help enhance the appearance of your teeth and give you a natural, polished look. However, veneers are not suitable for everyone. If you have severely decayed teeth, large fillings, or significant gum disease, veneers may not adhere properly or may not provide the desired outcome. During your free consultation, your dentist will evaluate the health of your teeth and recommend alternative treatments, such as crowns or bonding, if veneers are not the best option. Veneers are most effective on healthy teeth with minimal damage, so it’s important to maintain good oral hygiene for optimal results.




Our Secret
We Use Feldspathic and Emax Veneers

Minimal Tooth Preparation
Both types of veneers require minimal tooth reduction, meaning you can achieve a stunning, long-lasting smile with minimal alteration to your natural teeth, preserving their health and integrity.

Exceptional Aesthetics
Both Feldspathic and Emax veneers are designed to mimic the natural translucency and texture of real teeth, ensuring a beautiful, lifelike smile that blends seamlessly with your natural dental features.

Durability and Strength
Emax veneers are made from a strong, durable ceramic (lithium disilicate), making them highly resistant to chipping, cracking, and wear. Feldspathic veneers offer incredible customization for a perfect aesthetic result while still being highly resilient with proper care
Best Veneers in Dubai: Restore Your Perfect Smile
Are chipped, stained, or misaligned teeth affecting your confidence? Look no further! Our clinic offers top-quality dental veneers in Dubai to help you regain that perfect smile. With advanced techniques and state-of-the-art materials, you can achieve a natural, white, and ultra-thin smile that lasts
Cost of Veneers in Dubai
The cost of veneers varies based on the type and number of teeth being treated. On average, porcelain veneers can range from AED 1,500 to AED 2,500 per tooth, while composite veneers are priced between AED 750 to AED 1,500 per tooth. Investing in veneers is a step towards enhancing not just your smile but also your confidence and overall well-being.
