Benefits Of Crowns & Bridges
Crowns and bridges are a perfect solution for those with broken or missing teeth.
- Restore tooth structure
- They last a long time
- Replicate your natural teeth
Are you self-conscious about your broken, missing, or damaged teeth? Dental crowns and bridges can help you achieve a radiant smile. At Queens Medical Center, we specialize in enhancing your smile with our exceptional dental solutions.
Our skilled dentists are committed to providing you with the highest level of care, ensuring that you leave our clinic with renewed confidence. If you are ready to find out if permanent dental crowns or dental bridges in Dubai can help improve your smile, contact us today for an appointment.
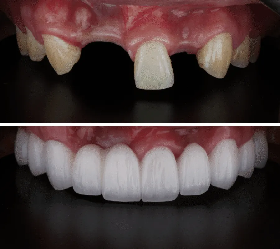
When the unexpected happens, crowns and bridges are great dental fixes from broken teeth. A crown will sit perfectly over the top of a broken tooth, providing long-lasting repair and protection. Whereas a bridge will complete any gaps left by missing teeth. At Queens Medical Center, our team of highly skilled dentists are able to create crowns and bridges to create high-quality restorations that will last for years.
Crowns and bridges are a perfect solution for those with broken or missing teeth.
A crown is needed when a filling isn’t sufficient for mending your broken or damaged tooth. It can also be used to improve the appearance of your tooth if there has been too much damage to it. They can also be used for teeth that are crooked or misshapen, restoring a good aesthetic appearance. If you have a cracked or weak tooth, a crown will also be recommended to hold your tooth together.
Dental crowns don’t last forever but they can last for years, if looked after correctly. The material used for your crown will be assessed by our dentists for strength, durability and aesthetics. The average lifespan of a crown is 10 years. But each material will have its own lifespan. Zirconia crowns, for example, can last for 10-15 years. Maintaining good oral health will extend the lifespan of your crown.



The cost of dental crowns and bridges varies depending on factors such as the number of teeth involved and the materials used. However, we work with all major insurance companies to provide affordable service.
Don’t let missing or broken teeth hold you back from smiling with confidence. Visit Queens Medical Center in Dubai and let us restore your smile with dental crowns and dental bridges in Dubai.
Free Consultation