Patients Stories
Real experiences. Remarkable results.
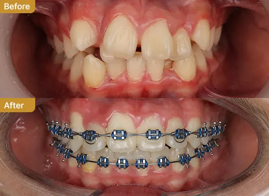
Watch real patient journeys and transformations in dental, dermatology, and aesthetic treatments at Queens Medical Center. Honest testimonials, stunning before-and-afters, and the care that sets us apart.
- Dental
- Dermatoglogy
- Dental Before & After Cases
- Derma Before & After Cases
- Patient Testimonials
View Case
View Case
View Case
View Case
View Case
View Case
View Case
View Case
View Case
View Case
View Case
Get Free Consultation
Get in touch today to schedule your free consultation - all contact details below.
- Al Diyafah | Burjuman | Al Rigga
- 6005 78336
- info@queensmedicalcenter.ae
- Open daily, from 10:00 AM to 10:00 PM
Find us - We're on the Map
Want to visit us? Just pick a branch and its location will pop up on the map!
Follow us - We're on the Social Media
Want to follow up? We're on social media just choose your favorite platform!
Book Your Free Consultation
Fill in the form and we’ll reach out to you instantly to discuss your medical needs.
contact
- Al Diyafah | Burjuman | Al Rigga
- 6005 78336
- info@queensmedicalcenter.ae
- Open daily, From 10:00 AM to 10:00 PM
Treatments
- General Dentistry
- Cosmetic Dentistry
- Orthodontics
- Pediatric Dentistry
- Dermatology
- Laser Hair Removal






















